Рентгенівська система IMAX 5100
IMAX 5100 – это универсальная рентгеновская диагностическая система на 3 рабочих места, предназначенная для цифровой рентгенографии и флюороскопии с динамическим плоскопанельным детектором.
Особенности системы IMAX 5100
- Применяется для любых клинических рентгенологических исследований, включая специализированную позиционную рентгенографию.
- Высококачественное цифровое изображение с высокой чёткостью и детализацией.
- Динамический плоскопанельный детектор размером 17" × 17" (43 × 43 см) с высокой частотой кадров.
- Многофункциональная конструкция с большим углом наклона трубки и регулируемым столом, обеспечивающая комфорт пациентов даже с ограниченной подвижностью.
- SID до 1,8 м для проведения рентгенографии грудной клетки, лобной части, крестцово-копчикового отдела и др.
- Диагностический стол с возможностью подъёма и вертикального расположения, что значительно расширяет клиническое применение.
- Автоматический электрический коллиматор автоматически регулирует размер пучка в соответствии с положением тела, снижая ненужное облучение во время исследования.
- Интеллектуальная система мониторинга дозы DAP для регистрации дозы одного обследования и контроля поглощённой дозы пациента.
- Функция AEC (Автоматический контроль экспозиции) — интеллектуальное управление временем экспозиции для стабильного качества при исследовании различных анатомических зон и пациентов.
- Автоматическая сшивка изображений (опция): формирование предоперационных планов и оценка послеоперационных результатов (сколиоз, нагрузка на ортопедические изделия, протезирование колена, эндопротезирование тазобедренного сустава).
- <p><strong>(опция): передовая технология визуализации, сочетающая реконструкцию конусно-лучевой КТ и цифровую обработку изображений.
- Современное программное обеспечение: полный цикл работы с изображением — от получения до архивации и передачи в общебольничную сеть.
- Высокочастотный генератор мощностью 65 кВт.
- Рабочая станция лаборанта с медицинским монитором.
- Возможна дополнительная комплектация: рабочая станция врача, принтер для печати на медицинских сухих плёнках и другие опции/устройства для рентгенологических исследований.
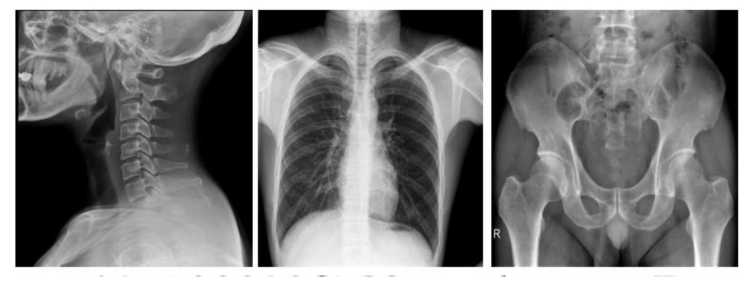
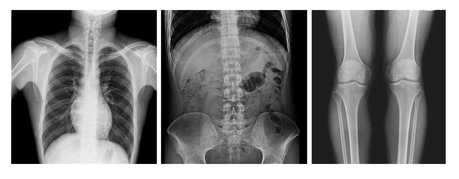
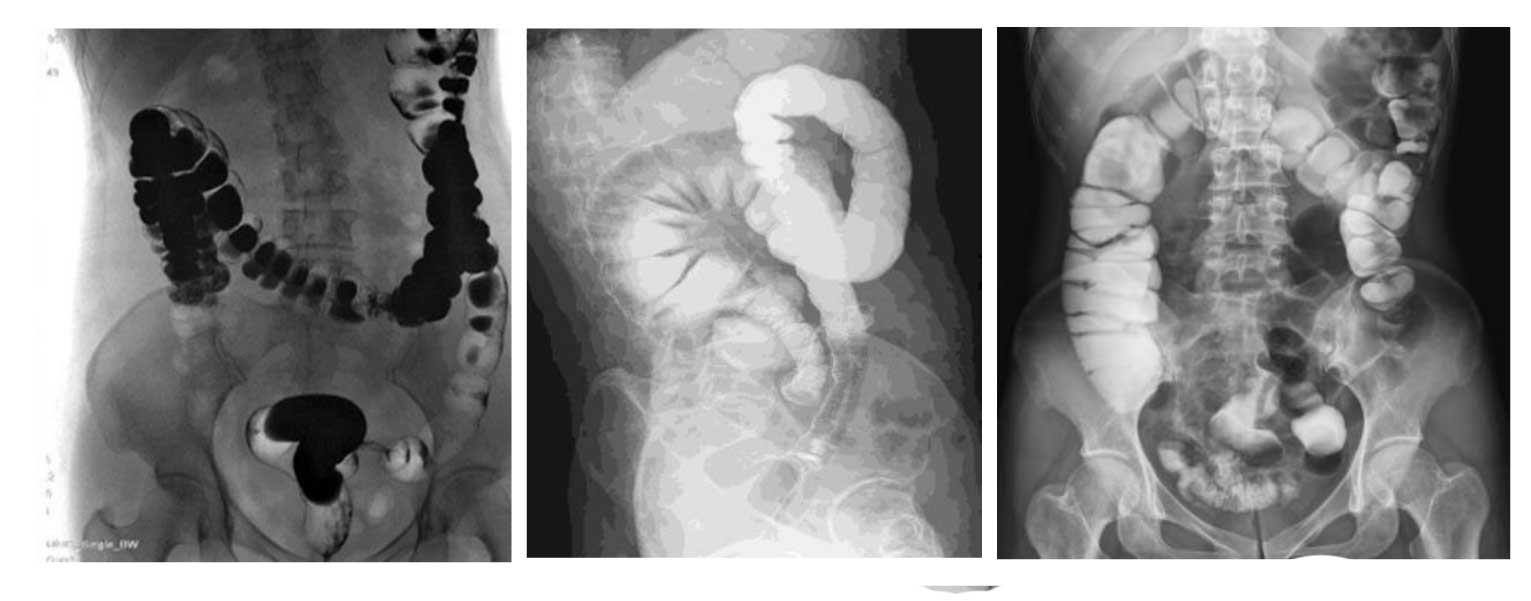
Рентгенологические исследования: рентгенография больших переломов костей и масштабное физическое рентгенографическое обследование, флюороскопия всех частей тела (грудная клетка, живот и т.п.), пищеводная ангиография, ангиография верхних отделов желудочно-кишечного тракта, полная ангиография желудочно-кишечного тракта, оральная холецистография, внутривенная холангиография, Т-образная холангиография, ЭРХПГ, внутривенная пиелография, гистеросальпингография и т.д.













